長期症例一覧
治療から長期間経過した症例
インプラントの長期症例
掲載写真撮影:2025年(75歳/女性)
インプラント:2001年(年前)インプラント埋入 当時51歳
インプラントの長期症例
掲載写真撮影:2025年(89歳/女性)
インプラント:2007年(年前)インプラント埋入 当時71歳
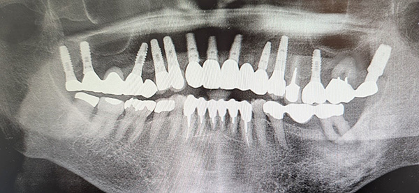
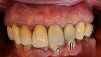
インプラントの長期症例
掲載写真撮影:2025年(85歳/女性)
上顎インプラント:2001年(年前)インプラント埋入 当時61歳
上顎には、左上に2歯しか存在せず大きな義歯が装着されており、永年にわたり違和感及び咀嚼に苦痛を感じ、取り外しをしなくて良い方法はないかと来院されました。
下顎は、特に前歯には、歯周病及び虫歯が多数あり歯周治療の後に審美回復も希望されセラミックを装着しました。
上顎は、インプラント治療を行い、以後、衛生士による年3回の定期的な口腔ケアのみで、24年が経過しましたが歯肉及びインプラントを支える骨にも全く問題なく、発音及び審美的にも満足され快適な食生活を過ごされています。
年前の症例
掲載写真撮影:2025年(88歳/女性)
セラミック(陶歯前装冠):1970年(年前)当時33歳
矢印(⇑)の2歯は、当時主流のセラミック(陶歯前装冠)です。
抜歯することもなく、咀嚼に問題なく、88歳の現在、顔面に縦ジワは見られません。
インプラントの長期症例
掲載写真撮影:2025年(95歳/男性)
左下インプラント:1994年(年前)インプラント埋入 当時64歳
右上インプラント:2002年(年前)インプラント埋入 当時72歳
前歯・左上インプラント:2010年(年前)インプラント埋入 当時80歳
95歳(2025年現在)・・・・シッカリ噛めていて顔に張りがあります
※上顎 インプラントでなければ多数歯の入れ歯が選択肢
インプラントの長期症例
掲載写真撮影:2018年(84歳/女性)
左下インプラント:1993年インプラント埋入(年前症例)
46年前から通院されている患者さんです。
当時のゴールドを使用した症例に歴史を感じますが今も問題なく経過しています。
長期のメインテナンス治療で清掃状態も良好で健康的な歯肉が認められます。
インプラントの長期症例
掲載写真撮影:2016年(75歳/女性)
右下インプラント:1993年4月14日インプラント埋入(年前症例)
左上インプラント:2002年3月19日(年前症例)
右上義歯(コーヌスクローネ):1998年(年前症例)
年前の症例
掲載写真撮影:2016年(97歳/女性)
患者の総義歯歴は44年ですが、その間、問題なく咀嚼機能が維持できています。顔の色艶もよい表情からは、年齢(撮影時97歳)以上に健康が維持できていると思われる症例です。
年前の症例
掲載写真撮影:2016年(92歳/女性)|通院歴年|
上顎:インプラント2本植立+総義歯(2003年)、下顎:総義歯(2003年)
こちらも92歳(2016年現在)という年齢以上に健康が維持できていると思われる症例です。「食事では、1回に30~50回噛むことを心掛けてきました」とおっしゃいます。咀嚼することで脳を活性化し、次に脳からの指令により腸内フローラも改善します。また、こなれた食物は効率よく栄養が吸収されます。
この総義歯の固定は、本来の吸着に依存するのでなく2本のインプラントの連結装置定で固定されていますので、上顎の粘膜は、露出し食物の味や温度が自然に感じるようになっています。
※高齢と長期使用の総義歯ですが、97歳と92歳の2症例では、粘膜も変化が無く健康を維持しています。
インプラントの長期症例
掲載写真撮影:2017年(74歳/女性)
1972年から通院歴年の症例で、ここ10年、年3回(3日)のメインテナンス治療のみで経過している症例です。
年前の症例
掲載写真撮影:2016年(73歳/女性)
20年経過したインプラントの症例です。年3~4日の定期健診で健康歯肉を維持しています。
年前の症例
初診:1971年|掲載写真撮影:2016年(74歳/女性)|通院歴: 年
1971年(年前)以来通院され、現在、年3回メインテナンス治療で来院されている症例。歯肉の状態も良好。大部分のブリッジや被せ物は~年前に治療した症例です。
咀嚼機能的に全く問題が有りませんが、右下左下のブリッジの側面に貼り付けた、当時、最も強度のある樹脂の摩耗が歴史を物語っています。
年前の症例
インプラント埋入:1996年|掲載写真撮影:2016年(66歳/女性)|通院歴:年
年前の症例
インプラント埋入:2008年|掲載写真撮影:2016年(72歳/女性)|通院歴: 年
年前の症例
インプラント埋入:2002年|掲載写真撮影:2016年(75歳/女性)|通院歴: 年
年前の症例
インプラント埋入:2006年(72歳/女性)|掲載写真撮影:2015年(81歳)|通院歴:年
患者さんは、1972年(年前)以来、来院されています。全ての治療を当院で行いました。インプラントも行い、年3~4日の定期検診とメインテナンスで来院されています。歯周組織の状態も極めて良好に維持されています。
年前の症例
初診:2002年|インプラント埋入:2006年(72歳/女性)|掲載写真撮影:2015年(81歳)
年来院されています。その間に大部分の治療を終了し、現在は年3日程度、口腔ケアで来院されています。81歳の2015年現在、歯肉や歯を支える骨の吸収もなく、歯肉は極めて良好な状態を維持しています。
年前の症例
掲載写真撮影:2015年(85歳/男性)
- 左下インプラント:1993年埋入 22年経過(2015年撮影時)
- 右上インプラント:2002年埋入 13年経過(2015年撮影時)
- 左上インプラント:2008年埋入 7年経過(2015年撮影時)
年3~4回の検診で現在まで来ています。歯肉も極めて良好な症例です。
年前の症例
初診:1971年|掲載写真撮影:2015年(85歳/女性)|通院歴:年
- 上顎中切歯:1971年装着 44年経過(2015年撮影時)
- 上顎側切歯:1978年装着 37年経過(2015年撮影時)
- 左上インプラント:2004年埋入 11年経過(2015年撮影時)
前歯2本は、初診から44年経過した症例です。当時の審美歯科治療として主流であった陶歯前装鋳造冠が装着されています。44年経過する中で修理を余儀なくされていますが、その他に30年以上前に装着されて以降、年4日の定期検診のみで現在に至る症例もあります。85歳の2015年現在も口腔清掃も良好で歯肉その他に全く問題なく元気に来院されています。
年前の症例
治療:1986年|掲載写真撮影:2015年(39歳/男性)
小学校4年(年前)の時に学校で前歯を折って急患で担任教諭と来院されました。コンポジットレジン(プラスチック)を充填し現在まで問題なく経過した症例です。
歯周組織長期症例(通院歴年)
初診:1997年|通院歴:年|掲載写真撮影:2015年(75歳/女性)
初診時口腔清掃悪く、歯周病を心配して来院されたケースです。これまで年3~4回の定期検査と衛生士による口腔清掃で現在に至っています。年齢を感じさせない歯肉の良好な状態を維持しています。
年前のインプラント症例
初診:1999年|通院歴:年|掲載写真撮影:2015年(82歳/男性)
1999年、66歳で来院。抜歯、インプラント、ブリッジ装着後、年3~4日のメインテナンス治療を行ない、理想的な歯肉の状態を維持し、歯槽骨の吸収が停止して今日に至ります。
- インプラント:2006年埋入 9年経過(2015年撮影時)
年前の症例
治療完了:1970年(28歳/女性)|掲載写真撮影:2012年(70歳)
開業して間もない昭和46年頃の症例です。
下顎及び上顎奥歯が42年経過した症例です。上顎前歯4本は、27年経過のメタルボンドクラウンです。年3回、定期的にメンテナンスを行い今日に至っています。
この症例は、長期使用のため、当時材質の硬質レジン(パイロプラスト)が、摩耗して下地の金属の露出や変色が認められます。咀嚼機能には全く問題がありません。当時のセラミックは変化なしです。 歯肉の状態は良好で、高齢でも歯を支える骨の吸収は初診時から変化は殆ど認められません。
治療完了:1970年(28歳/女性)|掲載写真撮影:2018年(75歳)
上の写真から更に5年後、治療完了から48年経過しています。
年前の症例
治療完了:1973年(29歳/女性)|掲載写真撮影:2018年(74歳)
45年経過症例。年2回の定期検査で現在に至る。
長期使用のため、当時材質の硬質レジン(パイロプラスト)が、摩耗して下地の金属の露出や変色が認められます。咀嚼機能には全く問題がありません。当時のセラミックは変化なしです。
歯肉の状態は良好で、高齢でも歯を支える骨の吸収は初診時から変化は殆ど認められません。
年前のインプラントブリッジの症例
治療完了:1993年5月15日(54歳/女性)|掲載写真撮影:2012年(73歳)
1993年(平成5年)5月15日に完成させたインプラントブリッジ(硬質レジン前装クラウン)です。19年経過し僅かに骨の吸収は見られますが、歯肉及び骨(歯槽骨)の状態は良好で機能的には現在も全く問題ありません。今後、10年は、十分に機能することが保証できます。
年前の部分義歯の症例
治療完了:1974年(32歳/女性)|掲載写真撮影:2009年(67歳)
今から年前、インプラントもコーヌスクローネ義歯も無かった時期の義歯です。 10回以上裏打ちを行った症例です。
年前の症例 (当院開業2年目の症例です)
治療完了:1969年(32歳/女性)|掲載写真撮影:2012年(75歳)
前歯は1970年当時主流であった古いタイプのセラミック冠(陶歯前装鋳造冠)が装着されています。現在も年2回の定期健診に通われています。
年前の症例
治療完了:1970年(34歳/女性)|掲載写真撮影:2012年(75歳)
アルミナス・ポーセレンジャケット冠(メタルレス)。
年前の症例
治療完了:1991年(64歳/女性)|掲載写真撮影:2009年(82歳)
年前に治療を行った症例です。下顎から総義歯が浮かないよう、 2本のインプラントと義歯の内面にあるゴムリング(Oリング)でホックのように連結しています。 必要に応じて着脱でき、会話や咀嚼時に義歯が浮き上がることがありません。
年前の症例
治療完了:1993年(60歳/男性)|掲載写真撮影:2009年(76歳)
1993年に治療を行った症例です。マグネットを利用した上顎義歯。下顎の前歯はコーヌス。奥歯はインプラント。
※当サイト内に掲載した症例の画像は、患者ご本人の了解を得て使用しています。
転載、複製、複写を固くお断りします。

