インプラント安定性
当院の長期安定症例
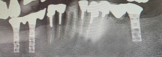
当院 第1号インプラント症例(32年経過症例)
第1号インプラント(1993年7月8日手術)
これは、当院で初めて行った下顎両側奥歯のインプラント症例です。
当時はまだインプラント治療が一般的ではなく、手術直後は動揺が強く、不安な気持ちでいっぱいでした。後ろで手術を見守っていたメーカーの担当者に「大丈夫でしょうか?」と尋ねたところ、返ってきた答えは・・・「神のみぞ知る」
そこから当院のインプラント治療の歴史がスタートしました。
それから32年、現在も1mmの骨吸収もなく、何の問題もなく安定して今日まで機能し続けており当院にとって歴史的な症例となりました。チタンインプラントの信頼性が証明されました。
32年経過症例 / 91歳(2025年現在)・女性
1993年 下顎インプラント埋入時(59歳)
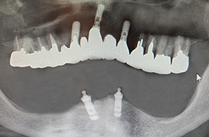
30年経過症例 / 92歳(2025年現在)・男性
1995年 上顎インプラント埋入時(61歳)
2002年 下顎インプラント埋入時(69歳)
92歳(2025年現在):シッカリ噛める事で咀嚼筋・表情筋が鍛えられ顔に張りがあり高齢にも拘らず縦ジワが全く見られません。最近まで車の運転をされていました。
現実には90歳超えてもインプラントを希望される方もいます。個人差を感じます。
26年経過症例 / 80歳(2025年現在)・女性
1999年 埋入(54歳)
大切なこと
インプラント治療は、「何が何でも最優先に行うべき治療法」ではありません。
歯科医師の判断や技量によっては、本来残せるはずの歯を安易に抜いてまで行うべきではないのです。
歯を残すことができるのは、医師の中でも歯科医師だけが持つ特別な技術です。
そのためには、歯周病治療、歯の神経や根の治療(歯内療法)、顎骨内の病巣を取り除く外科的処置(口腔外科)など、多くの専門分野にわたる総合的な技能が必要となります。
天然歯のはたらき
天然の歯は、歯根を包む「歯根膜」に神経があり、食べ物を噛んだときの圧力(歯ざわり)の強弱を脳に伝えています。
その情報をもとに脳が咀嚼筋に指令を送り、噛む力を微妙にコントロールします。これを「神経筋機構作用」と呼びます。
そのおかげで、硬いせんべいや柔らかいマシュマロ、粘着性のある食べ物を無意識に噛み分けることができます。この「歯ざわり」も味覚の一部として食事を楽しむことにつながります。
さらに、歯根膜は厚さ0.2~0.3mmのクッションとして働き、噛んだ時に顎の骨への衝撃を和らげる役割も担っています。
インプラントとの違い
一方で、インプラントは顎の骨と直接結合しいるため、歯根膜のようなショックアブソーバーがありません。
そのため、数十ミクロン単位の噛み合わせのずれで衝撃が骨に直接伝わり、食事が不快になることがあります。
また、インプラントを支点としてテコ作用で顎関節に機械的刺激が加わり、耳の痛み、めまい、肩こり、腰痛など、全身に影響が及ぶことも知られています。
まとめ
インプラントは優れた治療法である一方で、注意を怠ればリスクも伴う「諸刃の刃」です。正しい理解と慎重な選択が何より大切です。

