インプラントの手法
安全性と精度を高めるインプラント埋入
以前の方法
かつてのインプラント手術は、パノラマレントゲンの情報を参考にしながら、歯科医師の経験と手先の感覚に頼って位置や方向、深さを決めるのが一般的でした。
しかし、顎骨の幅や深さ・骨質、さらに神経や血管の走行には個人差があ利、より正確な情報が必要と感じていました。
CT導入による大きな進歩
その課題を解決したのが歯科用CTの登場です。
当院でもいち早くCTを導入し、顎の骨を三次元的に把握できるようになりました。従来のレントゲンに比べ、はるかに精密な情報を得られるようになり、インプラント手術の安全性と精度は大きく向上しました。
しかし、CTで精密な情報を得ても、実際の埋入は従来通り「術者のフリーハンド」に依存していました。そのため、結果は歯科医師の経験や技量に大きく左右されるという課題がありました。これは医療として必ずしも望ましい形ではありません。
設計図に沿った安心のインプラント(ガイデッド・サージェリー)
理想の住宅が設計図通りに建てられるように、インプラント治療も正確な「設計図」に沿ってに行うことが大切です。
当院では、CTの3次元画像をもとに、インプラントの位置・方向・サイズをコンピューターでシュミレーションし、「設計図」を作成し、専門メーカー(Envista / ノーベルバイオケア社)に送信します。
メーカーから届けられた「サージカルガイ / ノーベルガイド」を手術時に口腔内にセットし、そのガイドにそってインプラントを埋め込むことで、手術の安全性と精密さを一層高めています。
この仕組みにより、均一で安定した結果を得ることが可能になり、安心して治療を受けて頂けます。当院では、2011年導入し、現在に至ります。
Case1
初診時:2015年 65才 女性. 右下3本(小臼歯2本、大臼歯1本)欠損
ワックスで作製した歯の完成形とCTからインプラントの3D設計を行う
正確な事前設計により、手術はスムーズかつ安全に行うことができます。
(サージカルテンプレート)
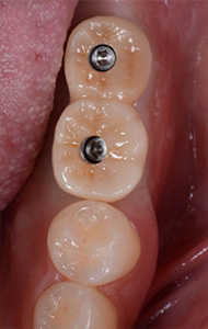
Case2
初診時:2020年 46才 男性. 左下大臼歯2本欠損
ワックス作業もデジタルに、神経確認でより安全なインプラント設計
インプラントの被せ物はネジで装着、必要時は取り外し可能となります。
最終的にネジ穴は、白い樹脂で封鎖します。
上のネジ穴の写真やレントゲン画像から、インプラントが計画通りに埋入されて良好に終了していることが確認できます。

